fbpx

Hỗ trợ (24/7)

ĐẶT LỊCH KHÁM

Lý do chọn cấy ghép Implant tại VSiTa Dental

Thời gian: Công nghệ AI thiết kế nụ cười online giúp Kiều bào, khách hàng lựa chọn giải pháp nụ cười phù hợp, rút ngắn thời gian điều trị.

Đội ngũ 100% Tiến sĩ, Bác sĩ Y khoa chuyên sâu: Điều trị chuẩn xác, hiệu quả lâu dài với phương châm từ Tâm “Bảo tồn răng thật tối đa”.

Giá cả minh bạch: Thông tin minh bạch. Cung cấp mức giá tối ưu nhất, đảm bảo không phát sinh thêm chi phí.

Công nghệ và trang thiết bị tiên tiến: Máy Trios 3, máy Scan mẫu hàm, CAD/CAM, chụp X-quang, máy cắt nướu Laser…

Quy trình khử trùng nghiêm ngặt: Đảm bảo quy trình vô trùng theo chuẩn Bộ Y Tế.

Cơ sở hiện đại: Ngay trung tâm Quận 1, rộng lớn, sang trọng, cùng dịch vụ chăm sóc khách hàng tận tâm, chu đáo.

Quy trình cấy ghép Implant tại VSiTa Dental
Chuẩn xác - Nhanh chóng - An tâm vượt trội

Bước 1: Khám tổng quát tình trạng răng miệng - Tư vấn kế hoạch điều trị.

Trước khi điều trị:
Tư vấn, cá nhân hoá thiết kế nụ cười trực tuyến với công nghệ AI Smile Design.

Ngày 1:
Khám, xét nghiệm cần thiết & lấy dấu răng.

Ngày 2:
Cấy ghép trụ implant và gắn răng tạm 99% chức năng ăn nhai & thẩm mỹ như răng thật.

4 - 6 Tháng sau:
Tiến hành gắn mão răng sứ.

Đặt lịch khám & tư vấn ngay !

Các dịch vụ trồng răng Implant

Cấy ghép Implant là gì ?

  1. Trồng răng Implant là 1 phương pháp điều trị chuyên sâu thay thế răng bị mất (một hoặc nhiều răng) bằng cách cấy ghép một hay nhiều trụ Implant (bằng titan hoặc vật liệu tương hợp sinh học) vào xương hàm. Trụ Implant này sẽ được dùng để nâng đỡ phục hình cố định hoặc tháo lắp để phục hồi chức năng ăn nhai của và đảm bảo thẩm mỹ tối ưu.
  2. Phẫu thuật cấy ghép Implant nha khoa cần được thực hiện tại các phòng khám đạt chuẩn về vô trùng và phẫu thuật theo quy định của Bộ Y Tế.

Điểm khác biệt khi điều trị trồng răng Implant tại VSiTa Dental? 

  1. 100% Tiến Sĩ, bác sĩ có 20 năm kinh nghiệm trong cấy ghép Implant và chỉnh nha, cam kết bảo tồn răng tối đa, cảm giác tự nhiên như răng thật, với liệu trình chuẩn xác, nhanh chóng, an toàn vượt trội là ưu điểm được Kiều bào quan tâm.
  2. Sở hữu công nghệ Nha Khoa tiên tiến từ Máy scan Trios 3 Shape và phân tích nụ cười bằng công nghệ AI, đảm bảo giải pháp nụ cười tối ưu nhất về chi phí và thẩm mỹ, tôn vinh vẻ đẹp tự nhiên với khuôn mặt, màu da, phong cách riêng của khách hàng.

Bảng giá các loại trụ Implant tốt nhất hiện nay

DỊCH VỤ TRỤ IMPLANT TRỤ PHỤC HÌNH
Implant Dio – Hàn Quốc 12,000,000 3,000,000
Implant Dentium – Mỹ 14,000,000 4,000,000
NeoDent Thụy Sĩ (Sản xuất tại Brazil) 20,000,000 6,000,000
Implant Straumann SIC Thụy Sĩ (Sản xuất tại Đức) 25,000,000 7,000,000
Trụ Implant Nobel Biocare 29,000,000 5,000,000
Implant Straumann SLA Thụy Sĩ 30,000,000 8,000,000
Implant Straumann SLA Active Thụy Sĩ 36,000,000 8,000,000

Bạn hỏi, bác sĩ trả lời

Cắm Implant có đau không?

Câu trả lời chắc chắn là có bởi vì bất kỳ vết thương nào dù là nhỏ nhất cũng khiến chúng ta cảm thấy đau đớn và đi kèm là cảm giác lo lắng, sợ hãi. Tuy nhiên, mức độ đau nhiều hay ít thì còn phụ thuộc rất nhiều yếu tố khác nhau. Đầu tiên phải nói đến đó là tâm lý và cơ địa của từng người. Tâm lý và cơ địa tốt thì sẽ ít đau hơn so với những người có cơ địa yếu cùng tâm lý lo sợ. Hơn nữa nó còn phụ thuộc vào số lượng răng mà bạn thay thế

Sau khi cắm Implant có đau không?

  • Trong quá trình cắm Implant, bệnh nhân sẽ được tiêm thuốc gây tê nên sẽ thấy rất nhẹ nhàng.
  • Tuy nhiên sau khi cắm Implant thì thuốc tê cũng hết tác dụng.
  • Vì vậy sẽ cảm thấy đau một chút quanh vùng cắm Implant, cảm giác đau này sẽ giảm dần trong 1-2 ngày.
  • Ngoài ra, bạn yên tâm vì sau đó bác sĩ sẽ kê thuốc giảm đau, chống viêm và kháng viêm, người bệnh vẫn có thể sinh hoạt, ăn uống thức ăn mềm và sinh hoạt bình thường.

Ưu điểm Implant ?

  • Phục hình răng đã mất một cách toàn di
  • Trồng răng Implant giúp phục hình răng đã mất một cách toàn diện từ chân răng tới mặt ăn nhai. Răng Implant sẽ đóng vai trò và có cấu tạo y như một chiếc răng thật, chưa có phương nào khác có thể làm được điều mà Implant làm.
  • Ngăn chặn tình trạng tiêu xương, tụt lợ
  • Thông thường khi bị mất xương lâu năm sẽ làm cho vùng xương hàm tại chân răng bị trống dẫn tới xương hàm tiêu dần. Điều này rất nguy hiểm cho sức khỏe răng miệng. Với phương pháp trăng Implant hoàn toàn có thể ngăn chặn được quá trình tiêu xương vì chân răng thật được thay thế bằng trụ titan. Đây được coi là ưu điểm vượt trội của Implant mà các phương pháp khác không làm được.
  • Không gây ảnh hưởng tới các răng khác
  • Với phương pháp phục hình bằng cầu răng sứ sẽ cần mài 2 răng bên cạnh để làm trụ cho cầu răng sứ lên trên. Điều này gây ra biến chứng cho răng bị mài như làm răng bị nhạy cảm hơn, dễ buốt, sâu răng,… Còn phương pháp Implant hoàn toàn khắc phục được điều này. Nó không tác động tới bất kỳ một chiếc răng nào, mọi thao tác chỉ thực hiện trên răng bị mất vì vậy có thể bảo tồn nguyên vẹn các răng bên cạnh.
  • Bền chắc, tuổi thọ lâu, độ ăn nhai như răng thật
  • Một trong những ưu điểm nổi trội của trồng răng Implant là có độ bền chắc và chịu được lực ăn nhai y như răng thật. Tuổi thọ của Implant có thể kéo dài trọn đời nếu như chăm sóc cách. Bên cạnh đó sau khi trồng răng Implant khách hàng hoàn toàn có cảm giác ăn nhai giống như răng thật, thoải mái không hề có cảm giác khó chịu.

Nhược điểm Implant ?

  • Không thích hợp cho trẻ dưới 16 tuổi
  • Bệnh nhân dưới 16 tuổi không nên trồng răng Implant vì lúc này xương hàm vẫn chưa phát triển, có thể bị vùi Implant, mật độ xương vẫn còn thấp vì thế nếu cắm Implant sẽ chưa đủ độ vững chắc.
  • Chi phí cao
  • So với chi phí của các phương pháp khác thì trồng răng Implant có chi phí khá cao, giao động từ 18 triệu tới 30 triệu tùy từng loại Implant.
  • Thời gian điều trị kéo dài
  • Phương pháp trồng răng Implant có thời gian điều trị khá dài, có thể lên tới 6 tháng. Mặc dù hiện tại đã có phương pháp cấy Implant tức thì tuy nhiên phương pháp này không phải bệnh nhân nào cũng có thể sử dụng. Chình vì vậy nhược điểm của Implant là quy trình điều trị phức tạp và mất thời gian hơn các phương pháp khác.
  • Không phù hợp với tất cả mọi người
  • Không phải ai cũng có thể cấy răng Implant, và việc điều trị theo phương pháp này thường cần có các điều trị bổ sung như nâng xoang, ghép xương. Cấy Implant cũng đòi hỏi bệnh nhân phải hợp tác và tuân thủ theo đúng chỉ định của bác sĩ để có kết quả tốt nhất.

Thời gian trồng răng Implant mất bao lâu ?

  • Thông thường thời gian cấy ghép Implant sẽ mất từ 30 – 60 phút, tuy nhiên bệnh nhân sẽ cần đợi từ 6 – 14 tuần tiếp theo để trụ Implant tích hợp với xương hàm sau đó mới gắn răng sứ. Trong thời gian đợi trụ tích hợp bác sĩ sẽ gắn tạm răng lên Implant để bạn có thể sinh hoạt được như bình thường.
  • Thời gian trồng răng chỉ mất 1 ngày
  • Được áp dụng đối với các bệnh nhân có xương hàm tốt, chắc khỏe, mật độ xương vừa đủ, ổ chân răng có đủ chiều sâu, vị trí răng không bị chịu quá nhiều lực trong quá trình ăn nhai cũng như trụ titan tốt thì thời gian trồng răng rất nhanh, chỉ khoảng 1 ngày.
  • Thời gian trồng răng mất từ 7-10 ngày
  • Áp dụng với các bệnh nhân có xương hàm dày tốt, có đủ kích thước chiều sâu tuy nhiên răng bị mất nằm ở vị trí khó thực hiện cấy ghép hoặc nằm ở chỗ chịu nhiều áp lực khi nhai như răng cửa hàng trên, răng cửa hàm dưới thì thời gian trồng răng sẽ ở mức trung bình.
  • Thời gian trồng răng mất từ 3 – 6 tháng
  • Áp dụng với các bệnh nhân bị mất răng lâu ngày dẫn tới tiêu xương, ổ răng bị hao hụt nghiêm trọng, thể tích xương không đủ để cấy ghép Implant. Trường hợp này sẽ cần nâng xoang và cấy ghép xương vào ổ chân răng sau đó đợi vết thương lành mới có thể tiến hành trồng răng Implant nên mất nhiều thời gian.

Cắm Implant có nguy hiểm không ?

  • Mặc dù trồng răng Implant có kỹ thuật không quá phức tạp, tỉ lệ thành công cao. Tuy nhiên nếu trụ Implant không được cấy ghép chính xác hoặc bác sĩ thực hiện tay nghề kém, bệnh nhân không biết cách chăm sóc răng miệng đúng cách thì có thể gây ra nhiều biến chứng nguy hiểm sau khi cấy ghép Implant.
  • Nhiễm trùng khu vực cấy Implant
  • Tình trạng chảy máu kéo dài sau khi phẫu thuật
  • Bị viêm quanh trụ Implant
  • Các mô lân cận bị tổn thương
  • Cấy Implant sai vị trí gây cảm giác đau khi bị chạm nướu lúc ăn nhai hoặc vệ sinh răng miệng, dễ viêm nhiễm, ảnh hưởng tới phát âm, răng bị tập trung quá nhiều lực ăn nhai dẫn tới bị quá tải.

Một vài lưu ý quan trọng khác

  • Trước khi trồng răng, bệnh nhân sẽ được tư vấn cụ thể và minh bạch về lộ trình điều trị của bác sĩ.
  • Vì thế để đảm bảo quyền lợi cho mình hãy hỏi ngay bác sĩ khi có thắc mắc.
  • Ngoài ra bệnh nhân cần phải bỏ thuốc lá cũng như rượu bia ít nhất ba tuần trước khi thực hiện đặt trụ Implant.
  • Như vậy để vết thương nhanh lành, tích hợp xương nhanh và không bị viêm nhiễm sau khi đặt trụ : Kiểm soát vệ sinh răng miệng tốt, tránh hút thuốc lá, uống thuốc theo toa, kiểm soát ổn định tiểu đường nếu có.

Cần phải làm gì sau cấy Implant?

  • Cách giảm sưng sau khi cắm trụ Implant như sau:
  • Nếu có tình trạng sưng nhẹ, rỉ máu sau khi phẫu thuật cắm trụ Implant thì người bệnh cũng không nên quá lo lắng, vì điều này hoàn toàn bình thường và xảy ra ở hầu hết các ca điều trị. Hiện tượng này có thể xảy ra trong 1 ngày đầu tiên sau khi cắm trụ Implant.
  • Người bệnh cần phải cắn chặt miếng bông gòn sau phẫu thuật để cầm máu.
  • Súc miệng hàng ngày bằng dung dịch chứa Chlorhexidine.
  • Có thể chườm đá khoảng 24 tiếng sau cấy, những ngày sau có thể chườm ấm.
  • Tuyệt đối không hút thuốc lá từ 2-4 tuần sau khi phẫu thuật cắm trụ Implant. Vì trong thuốc lá có khí Carbon Monoxide đi vào máu làm giới hạn số lượng dưỡng khí có sẵn được dùng để nuôi các mô lành xung quanh Implant.
  • Để phục hồi nhanh chóng sau phẫu thuật cắm trụ Implant, khách hàng cần phải uống thuốc theo chỉ định của Bác sĩ.
  • Chế độ dinh dưỡng sau khi thực hiện cấy ghép Implant . Để đảm bảo quá trình hồi phục nhanh chóng, người bệnh cần tránh để thức ăn rơi vào vùng cấy ghép Implant, cụ thể: Ăn thức ăn mềm, dễ nuốt. Khi phẫu thuật xong, người bệnh nên hạn chế ăn thức ăn cứng, quá dẻo hoặc uống chất lỏng nóng cho đến khi hết thuốc tê ngày đầu. Nên ăn các thức ăn mềm, có dinh dưỡng cao.
  • Tránh để thức ăn rơi vào vùng trồng răng Implant: Trường hợp lỡ có thức ăn rơi vào vùng cấy Implant, bạn nên nhẹ nhàng sử dụng bông y tế, lấy ra để tránh tổn thương vùng phẫu thuật.
  • Uống nước nhiều: Trong thời gian này, để giữ vệ sinh răng miệng và làm dịu cảm giác đau sau phẫu thuật, người bệnh nên chú ý uống nhiều nước. Điều này sẽ giúp khoang miệng sạch sẽ hơn và vết thương hồi phục nhanh chóng.
  • Tránh vận động mạnh Sau khi phẫu thuật, cần tránh vận động quá sức như tập thể dục, chạy bộ trong ngày đầu tiên. Vì những hoạt động này có thể làm tổn thương đến vùng cấy ghép, khiến cho Implant bị lung lay.
  • Tránh những va chạm trực tiếp như sau: Tuyệt đối không dùng ngón tay hay bất kỳ vật cứng, nhọn nào khác chạm vào vùng cấy ghép Implant để kiểm tra độ lành thương vì có thể làm ảnh hưởng nghiêm trọng đến quá trình tích hợp xương.
  • Không khạc nhổ, đẩy lưỡi hoặc dùng tay chạm vào vết thương.
  • Tránh chải răng quá mạnh vào những ngày đầu mới cấy Implant: Ngay trong tuần lễ đầu sau cấy ghép, người bệnh có thể dùng bàn chải mềm chải sạch trụ và niêm mạc xung quanh Implant. Đối với các răng khác, bạn có thể chải bình thường, nhưng phải hết sức nhẹ nhàng, cẩn thận.
  • Tái khám cắt chỉ Sau 10 – 14 ngày sau khi phẫu thuật cắm trụ Implant, người bệnh cần quay lại phòng khám để tiến hành cắt chỉ tùy theo tình trạng vùng cấy ghép. Bác sĩ hẹn ngày cắt chỉ chính xác, đồng thời theo dõi và đánh giá tình trạng trụ sau khi được cấy vào xương hàm.

Độ tuổi thích hợp để cấy ghép Implant

  • Thực hiện cấy Implant không giới hạn độ tuổi, tuy nhiên người mất răng nên thực hiện cấy ghép Implant khi đã đủ 18 tuổi trở lên. Khi đủ 18 tuổi, hệ thống xương hàm đã ổn định, đủ điều kiện thực hiện phẫu thuật.

Xương quan trọng trong cắm Implant

  • Xương hàm phải đạt tiêu chuẩn
  • Xương hàm cần phải đạt tiêu chuẩn về độ cứng chắc, xương ổ răng đầy đủ, chiều cao và bề dày mới có thể đặt được trụ Implant. Ca phẫu thuật liệu có thành công hay không phụ thuộc rất lớn đến vào tiêu chuẩn xương hàm. Nếu là tình trạng tiêu xương hàm nghiêm trọng, bác sĩ sẽ tiến hành cấy ghép xương trước khi cấy Implant.

Những vấn đề có thể xảy ra sau cắm Implant

  • 1. Nhiễm trùng Nên chăm sóc cho các Implant nha khoa kỹ càng để làm giảm nguy cơ nhiễm trùng. Việc tuân thủ theo lời khuyên của bác sĩ sau khi thực hiện Implant nha khoa là cực kỳ quan trọng. Việc điều trị nhiễm trùng phụ thuộc vào độ nặng và vị trí nhiễm trùng. Ví dụ như, nhiễm trùng nướu có thể sẽ cần điều trị bằng kháng sinh hoặc ghép nướu, trong khi nhiễm trùng ở trong xương có thể sẽ cần phải thực hiện loại bỏ phần xương bị tổn thương hoặc có thể là bỏ cả phần Implant và sau đó thực hiện ghép xương hoặc mô mềm.
  • 2. Tụt nướu Trong một vài trường hợp, nướu tại vị trí Implant có thể bị tụt, và có thể dẫn đến bị viêm và đau. Việc thăm khám và đánh giá kỹ càng từ nha sĩ là cực kỳ cần thiết để có thể tránh việc phải gỡ bỏ Implant.
  • 3. Implant bị lỏng Trong vài tuần đầu sau khi làm thủ thuật, Implant sẽ từ từ cắm chặt và dính vào xương hàm. Quá trình này được gọi là “Sự tương hợp – tích hợp xương”, và quá trình này rất quan trọng trong việc thành công của Implant. Quá trình này có thể mất đến nhiều tháng. Nếu như Implant thất bại trong việc dính vào xương, nha sĩ có thể sẽ phải gỡ bỏ nó. Có thể thử thực hiện Implant lại sau khi vùng đó đã lành vết thương.
  • 4. Tổn thương thần kinh Đôi khi, nha sĩ có thể vô tình cắm Implant quá gần với dây thần kinh, việc này có thể dẫn đến cảm giác tê, châm kim hay đau kéo dài. Một nghiên cứu năm 2012 chỉ ra rằng, tổn thương thần kinh do cắm Implant có thể làm giảm chất lượng cuộc sống. Tổn thương thần kinh hay mô cần được hỗ trợ y tế ngay lập tức. Tổn thương thần kinh răng dưới ở trong xương hàm dưới có thể rất nghiêm trọng. Một vài triệu chứng của tổn thương thần kinh răng dưới gồm: Tê buốt dai dẳng ở vị trí cắm Implant, bao gồm cả môi dưới và cằm Đau hoặc cảm giác khó chịu kéo dài; Cảm giác châm chích, nóng rát ở vùng nướu và da.
  • 5. Các triệu chứng ít gặp hơn Implant nha khoa có thể gây ra một vài triệu chứng ít gặp hơn, ví dụ như các vấn đề về xoang và tổn thương của chính Implant.
  • 6. Các vấn đề về viêm xoang Implant ở hàm trên có thể xuyên thủng vào trong các xoang, gây phù nề các xoang, gây ra viêm xoang. Một số triệu chứng có thể xảy ra ở viêm xoang bao gồm: Đau, nhạy cảm, hay sưng phù xung quanh mắt, má hay trán Dịch nhầy ở mũi màu xanh hoặc vàng Nghẹt mũi Giảm khứu giác Đau đầu kiểu xoang Đau răng Hơi thở có mùi hôi Tăng thân nhiệt.
  • 7. Tác động lực mạnh có thể làm cho Implant nha khoa bị nứt hoặc trở nên lung lay. Một vài người có thể tác động lực mạnh lên Implant của mình mà không hề tự nhận biết thấy. Ví dụ như, một số người nghiến răng trong lúc ngủ. Những người có xu hướng đó có thể phải cần mang một dụng cụ trong miệng khi ngủ để đề phòng tổn thương Implant cũng như các răng bình thường khác.
  • 8. Các vấn đề lâu dài khác Viêm vùng quanh Implant là một dạng bệnh tại nướu làm mất đi phần xương hỗ trợ xung quanh Implant. Theo một bài nghiên cứu năm 2017, viêm quanh Implant có thể mất khoảng 5 năm để tiến triển và gây ra triệu chứng. Những triệu chứng này thường bao gồm chảy máu hay sưng xung quanh vùng cắm Implant. Cũng có một khả năng hiếm gặp là cơ thể tự đào thải Implant nha khoa. Theo một nghiên cứu năm 2019, các nhà nghiên cứu đang xem xét các nguy cơ khi sử dụng Implant làm từ titanium hay các kim loại khác. Một vài người có một dạng dị ứng kim loại hiếm gặp khiến cho cơ thể họ tự đào thải các Implant bằng kim loại. Các nhà nghiên cứu khuyến cáo rằng nên xét nghiệm dị ứng kim loại trước khi thực hiện cắm Implant.

Những lưu ý cần biết trước khi phục hình trên Implant

  1. Tư vấn lâm sàng: Trước khi bắt đầu quy trình cấy ghép Implant, quý khách được thăm khám sơ khởi, chụp phim CT, scan kỹ thuật số trong miệng và xét nghiệm máu để có đầy đủ thông tin cận lâm sàng. Trong buổi tư vấn này, các bác sĩ của chúng tôi sẽ kiểm tra tình trạng răng của quý khách, đánh giá khả năng cấy ghép Implant, và thảo luận với quý khách về các tùy chọn điều trị cũng như các thủ thuật bổ trợ nếu cần thiết.
  2. Chọn loại Implant phù hợp: Tùy thuộc vào tình trạng răng, xương và nhu cầu điều trị của mỗi khách hàng, bác sĩ của chúng tôi sẽ giúp quý khách lựa chọn loại Implant phù hợp và phù hợp nhất.
  3. Xác định tình trạng sức khỏe tổng thể: Sức khỏe tổng thể của quý khách cũng là yếu tố quan trọng. Trước khi cấy ghép Implant, quý khách nên thông báo chi tiết về tiền sử bệnh lý, các bệnh kèm theo, hoặc thuốc quý khách đang sử dụng cho đội ngũ chuyên gia nha khoa. Điều này giúp đảm bảo quy trình không gây hại đến tình trạng sức khỏe toàn thân của quý khách.
  4. Chăm sóc sau cấy ghép Implant: Sau khi cấy ghép Implant, quý khách sẽ cần tuân thủ các hướng dẫn của Bác sĩ để đảm bảo quá trình phục hình răng (làm răng sứ) diễn ra một cách suôn sẻ. Điều này có thể bao gồm chăm sóc răng miệng đúng cách, ăn uống cẩn thận, và thăm khám theo lịch hẹn định kỳ.

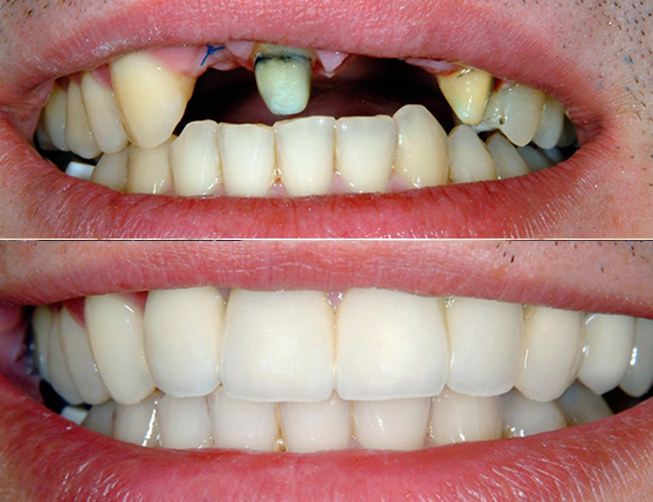
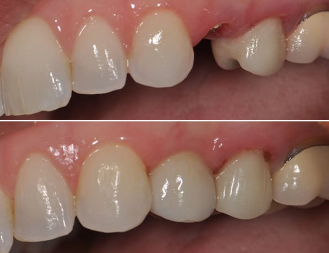
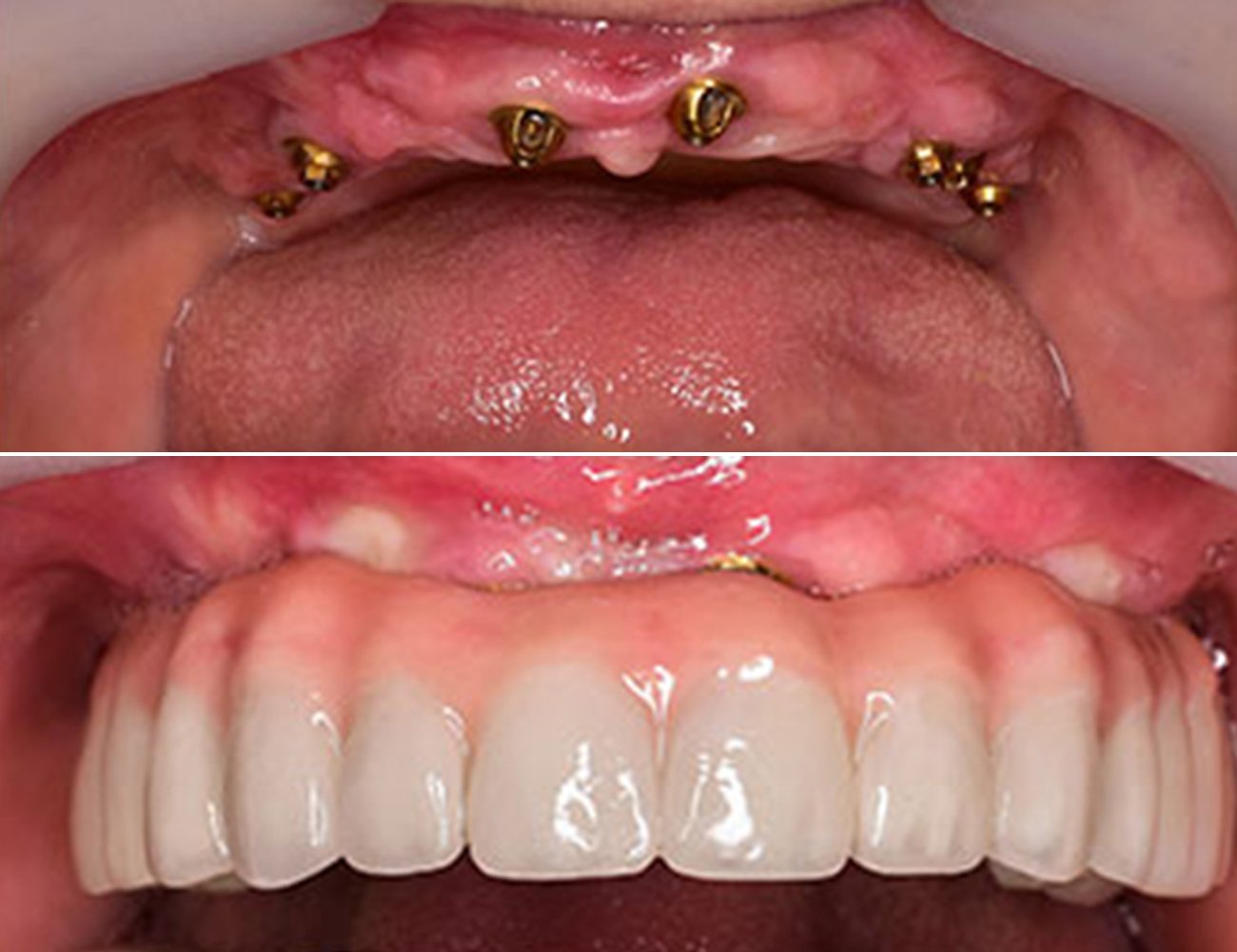
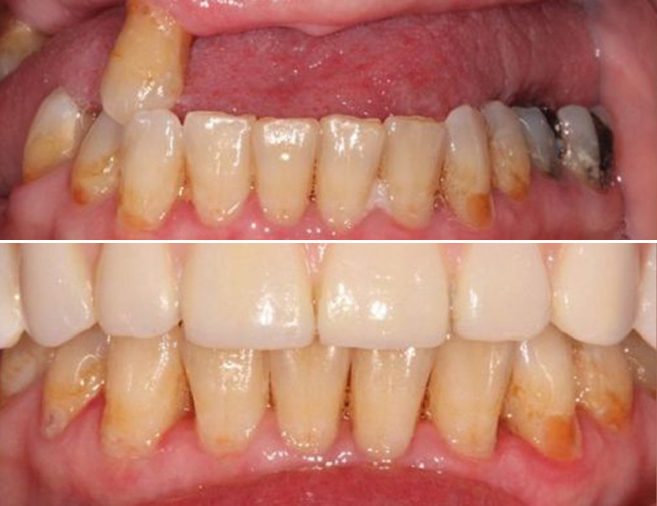
Hình ảnh Before - After

Cơ sở vật chất – Trang thiết bị hiện đại

Công nghệ tiên phong

Nha khoa thẩm mỹ VSiTa Dental luôn được trang bị đầy đủ các thiết bị máy móc, công nghệ hiện đại nhằm tạo điều kiện để khách hàng có sự trải nghiệm tốt nhất

Trang thiết bị phòng khám hiện đại

Phòng điều trị được đầu tư thiết kế theo chuẩn quốc tế, không gian rộng rãi, thoáng mát, đầy đủ các thiết bị hỗ trợ trong quá trình điều trị