fbpx

Hỗ trợ (24/7)

ĐẶT LỊCH KHÁM
GIỚI THIỆU

Implant toàn hàm là gì ?

Trồng răng Implant là 1 phương pháp điều trị chuyên sâu thay thế răng bị mất (một hoặc nhiều răng) bằng cách cấy ghép một hay nhiều trụ implant (bằng titan hoặc vật liệu tương hợp sinh học) vào xương hàm. Trụ implant này sẽ được dùng để nâng đỡ phục hình cố định hoặc tháo lắp để phục hồi chức năng ăn nhai của và đảm bảo thẩm mỹ tối ưu. Phẫu thuật cấy ghép implant nha khoa cần được thực hiện tại các phòng khám đạt chuẩn về vô trùng và phẫu thuật theo quy định của Bộ Y Tế.

Quy trình cấy ghép Implant

Bước 1: Khám tổng quát, chụp phim CTCB và lên phác đồ điều trị

Bước 2: Xét nghiệm máu đảm bảo cho việc cấy ghép Implant

Bước 3: Chuẩn bị

Bước 4: Phẫu thuật cấy ghép Implant

Bước 5: Đặt Abutment

Bước 6: Phục hình răng sứ, kết thúc điều trị

Điểm khác biệt khi điều trị trồng răng implant tại VSiTa Dental?

VSiTa Dental có hệ thống phòng phẫu thuật tiêu chuẩn được xây dựng theo tiêu chuẩn của Bộ Y tế, hệ thống phòng chăm sóc hậu phẫu, đảm bảo yếu tố vô trùng, giúp khách hàng an tâm và thoải mái.  Các phẫu thuật sẽ được thực hiện bởi đội ngũ bác sĩ phẫu thuật miệng có kinh nghiệm lâu năm, có kinh nghiệm công tác tại các đơn vị bệnh viện răng hàm mặt và trường đại học Y dược. Implant sử dụng tại VSiTa Dental có xuất sứ rõ ràng từ Châu Âu, Châu Mỹ, đa dạng mức giá để phù hợp với nhiều đối tượng khách hàng.

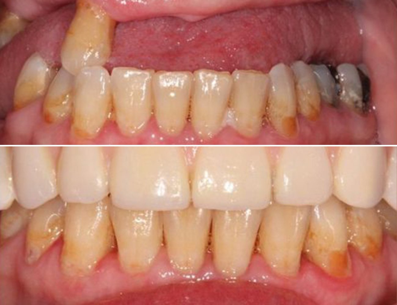
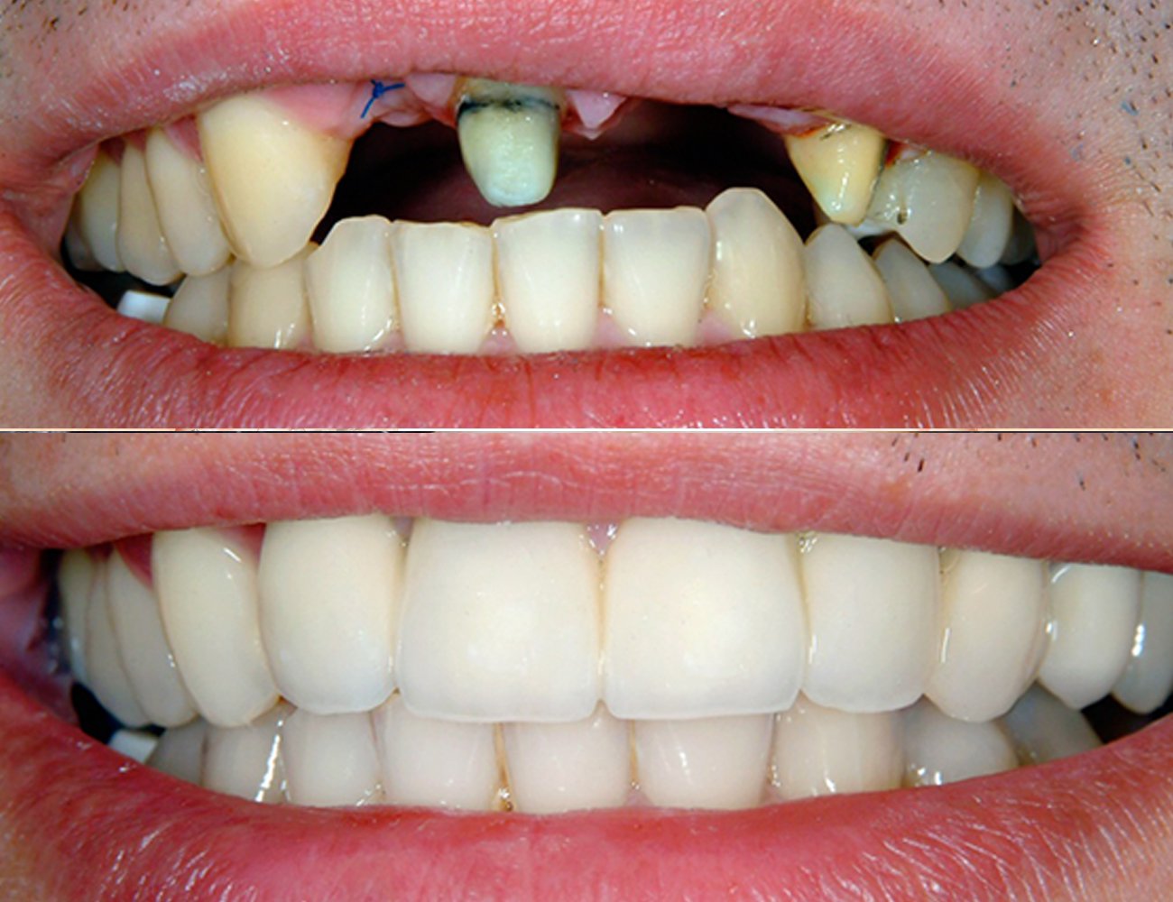
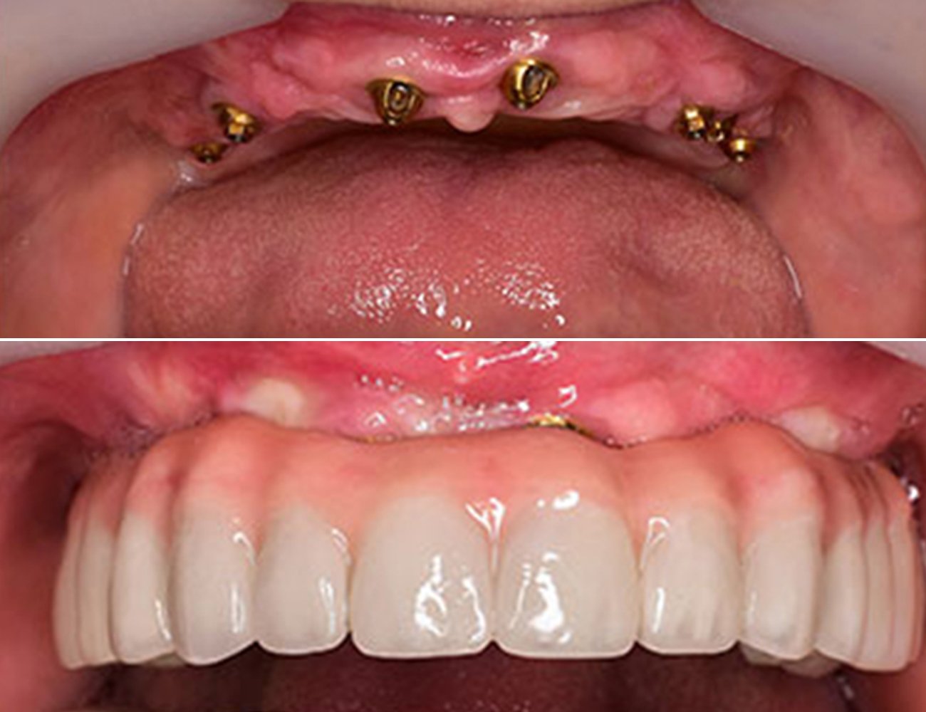
Hình ảnh khách hàng

Bảng giá Implant toàn hàm

CHẨN ĐOÁN HÌNH ẢNH

DỊCH VỤ ĐƠN VỊ CHI PHÍ (VNĐ)
Chụp phim toàn hàm 2D - 3D Phim 160,000

Cấy ghép phục hình toàn hàm

DỊCH VỤ ĐƠN VỊ CHI PHÍ (VNĐ)
Cấy ghép phục hình toàn hàm trên implant Trọn gói Liên hệ trực tiếp

* Vui lòng liên hệ nhân viên tư vấn

Những câu hỏi thường gặp ?

Có thể phục hồi răng bị mất bằng răng sứ được không?

Cầu răng sứ (trồng răng sứ) có thể được chỉ định thay thế cho việc đặt implant để phục hồi 1 hoặc vài răng bị mất. Tuy nhiên, làm cầu răng sứ yêu cầu mài răng khoẻ mạnh để làm trụ nâng đỡ cho nhịp răng sứ nằm tại vùng mất răng. Việc phân bố lực trên chân răng thật trong trường hợp này cũng sẽ không tối ưu. Do đó, trồng răng implant là phương pháp chất lượng cao hơn, tái tạo lại chức năng và thẩm mỹ gần như răng thật.

Cần cắm bao nhiêu implant nếu mất nhiều răng?

Tuỳ thuộc vào vị trí mất răng, chất lượng xương và loại phục hình trên implant, bác sĩ sẽ đề xuất cụ thể số lượng và vị trí implant trong kế hoạch điều trị. Trong trường hợp mất 2-4 răng liên tiếp, số trụ implant tối thiểu là 2. Trong trường hợp mất răng toàn hàm, số lượng trụ implant ít nhất là 4. Tuy nhiên, ở một số trường hợp xương xốp, số lượng implant ở 1 hàm có thể lên đến 6 hoặc 8.

Ghép xương, ghép màng khi cắm implant là gì? Khi nào cần thực hiện?

Việc mất răng lâu ngày sẽ làm cho xương hàm bị tiêu dần theo thời gian tại vị trí răng mất. Nếu lượng xương còn lại quá ít (theo chiều ngang và/hoặc chiều đứng), không đủ cho việc cắm implant vững chắc vào xương, bác sĩ sẽ chỉ định ghép xương để tăng thể tích xương trước khi cắm implant. Ghép màng được chỉ định khi khối lượng xương ghép lớn hoặc để hỗ trợ tái tạo mô xương và mô nướu theo đúng hình thái sinh học chức năng. Ghép xương có thể được thực hiện trước, trong hoặc có thể sau khi cấy ghép implant.

Chờ bao lâu sau khi mất răng rồi mới trồng răng implant?

Khách hàng nên cân nhắc và gặp bác sĩ tư vấn về trồng răng implant ngay sau khi bị mất răng. Việc xử lý sớm sẽ giúp hạn chế tiêu xương, giảm thiểu các thủ thuật ghép, giảm thiểu tỉ lệ biến chứng và ổn định khớp cắn toàn hàm. Trong nhiều trường hợp răng được chỉ định nhổ do lung lay, chấn thương hoặc sâu bể lớn, bác sĩ có thể đặt implant tức thì sau nhổ răng.