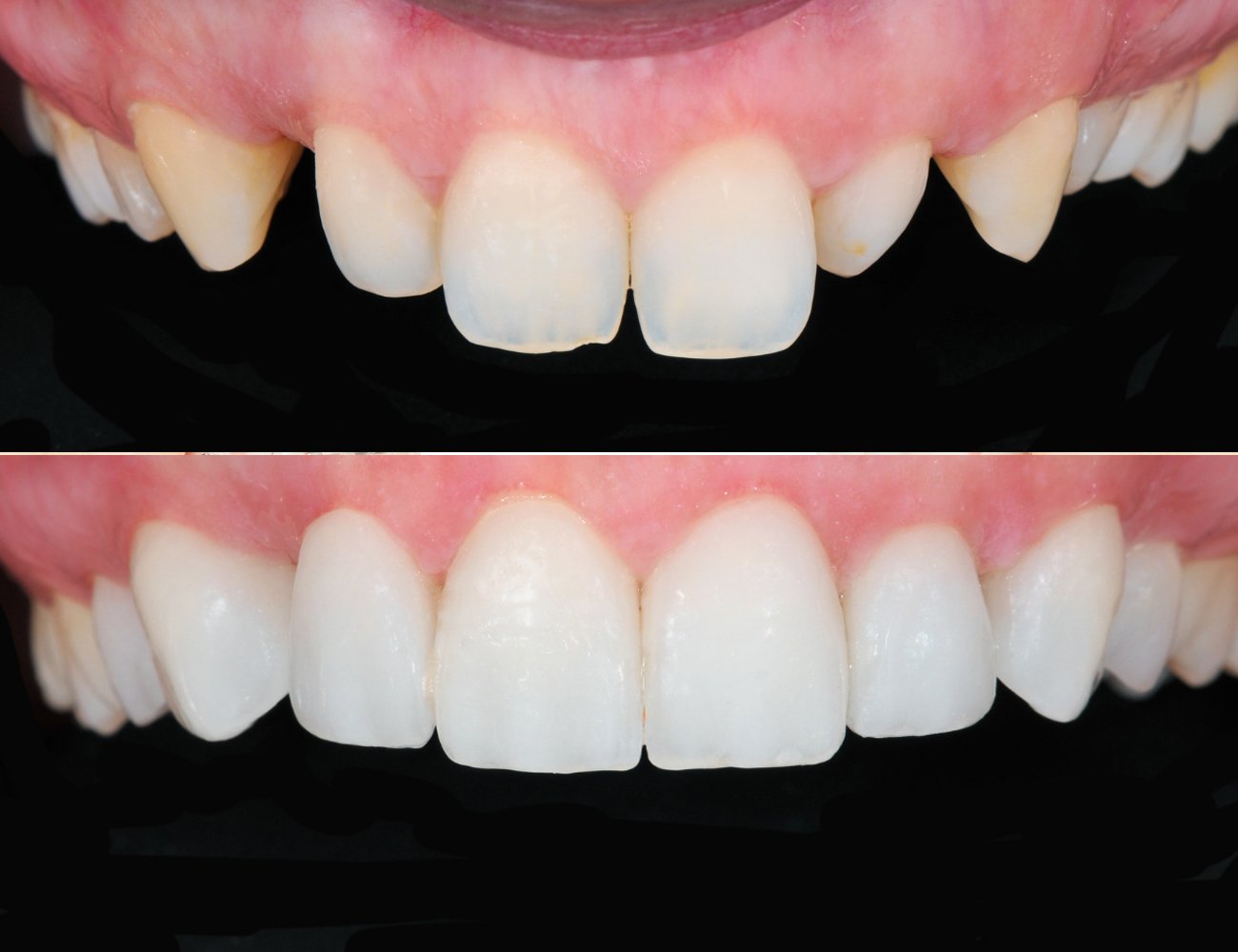
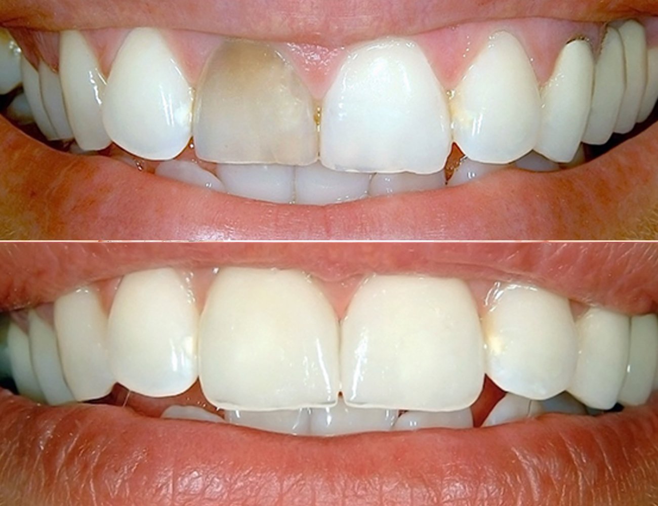
Phục hình sứ bảo tổn răng là phương pháp tân tiến thay thế cho việc "bọc răng sứ" truyền thống, giúp tái tạo lại hình dáng, chức năng và thẩm mỹ cho các răng sâu bể lớn hoặc các răng sau khi đã lấy tuỷ. Vật liệu được chỉ định có thể là sứ hoặc nhựa composite cao cấp có độ cứng cao và màu sắc giống răng thật. Phương pháp này cho phép bảo tổn tối đa mô răng còn lại, không phải mài tạo cùi như cách làm trước đây. Bệnh nhân cũng sẽ được trải nghiệm quy trình kỹ thuật số, đảm bảo độ nhanh chóng và chính xác.
VSiTa Dental giữ quan điểm bảo tồn tối đa trong tất cả các điều trị của mình. Điều trị làm răng sứ nha khoa VSiTa Dental sẽ được thực hiện bởi đội ngũ bác sĩ chính quy có chuyên môn cao, đảm bảo vật liệu chính hãng, tích hợp với công nghệ nha khoa kỹ thuật số.
Phục hình sứ bảo tồn tại nha khoa VSiTa Dental được chế tác tại hệ thống lab in-house tại phòng mạch với hệ thống CAD-CAM tân tiến. Do đó, phục hình có thể được toàn tất chỉ trong 1 ngày điều trị – thay vì 5-7 ngày như quy trình truyền thống.
| DỊCH VỤ | ĐƠN VỊ | CHI PHÍ (VNĐ) |
|---|---|---|
| Inlay/Onlay/Overlay Thẩm mỹ Emax CAD/CAM (Đức) | Răng | 7,000,000 |
| Inlay/Onlay/Overlay Thẩm mỹ Lisi Press (Nhật Bản) | Răng | 7,000,000 |
| Răng sứ thẩm mỹ Zirconia (Hàn Quốc) | Răng | 3,000,000 |
| Răng sứ thẩm mỹ Cercon HT (Đức) | Răng | 6,000,000 |
| Răng sứ Thẩm mỹ Lava Plus (Mỹ) | Răng | 8,000,000 |
| Răng sứ Thẩm mỹ Lava Esthetic (Mỹ) | Răng | 10,000,000 |
| Răng sứ Thẩm mỹ Orodent (Ý) | Răng | 15,000,000 |
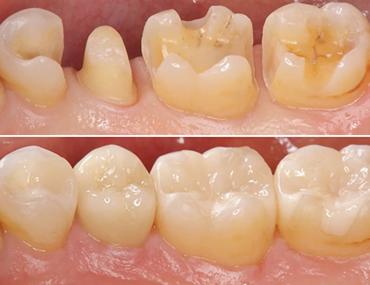
Khi răng sâu hoặc bể lớn, việc trám răng đơn thuần không đảm bảo hiệu quả và thẩm mỹ lâu dài. Khi đó, bác sĩ sẽ chỉ định làm phục hình sứ.
Khác với kỹ thuật bọc răng sứ truyền thống, phục hình sứ bảo tồn răng (tên tiếng anh: inlay, onlay, overlay) yêu cầu bác sĩ có trình độ và tay nghề cao, máy móc hiện đại thực hiện với mục tiêu bảo tồn tối đa mô răng khoẻ mạnh của khách hàng. Răng sẽ không bị mài nhỏ như cách làm truyền thống, thay vào đó, chỉ những mô sâu/ hoại tử được loại bỏ và sẽ được tái tạo/phục hồi bằng vật liệu sứ. Tuổi thọ của phục hồi lên đến 15-20 năm hoặc lâu hơn.
Đặt lịch khám & tư vấn ngay ! Nhận ngay 2 triệu
Công ty cổ phần VSita Dental
Giấy phép hoạt động: Số 00422 / HCM-GPHĐ do sở Y tế TP. Hồ Chí Minh Cấp
Người chịu trách nhiệm chuyên môn kỹ thuật: Bác sĩ Nguyễn Thị Kim Chi
Số CCHN: 004352/HCM-CCHN; Ngày cấp: 27/11/2012; Nơi cấp: Sở Y tế TP.HCM
Hotline: 0978 569 309 / 0902 826 930
Whatsapp: (+84)911488876
Zalo: 0978569309
Địa chỉ:19-21-23 Đ. Phạm Viết Chánh, P. Cầu Ông Lãnh, TP. HCM (Xem bản đồ)
Đặt lịch khám & tư vấn ngay ! Nhận ngay 2 triệu