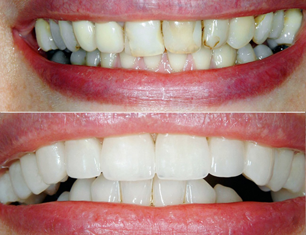
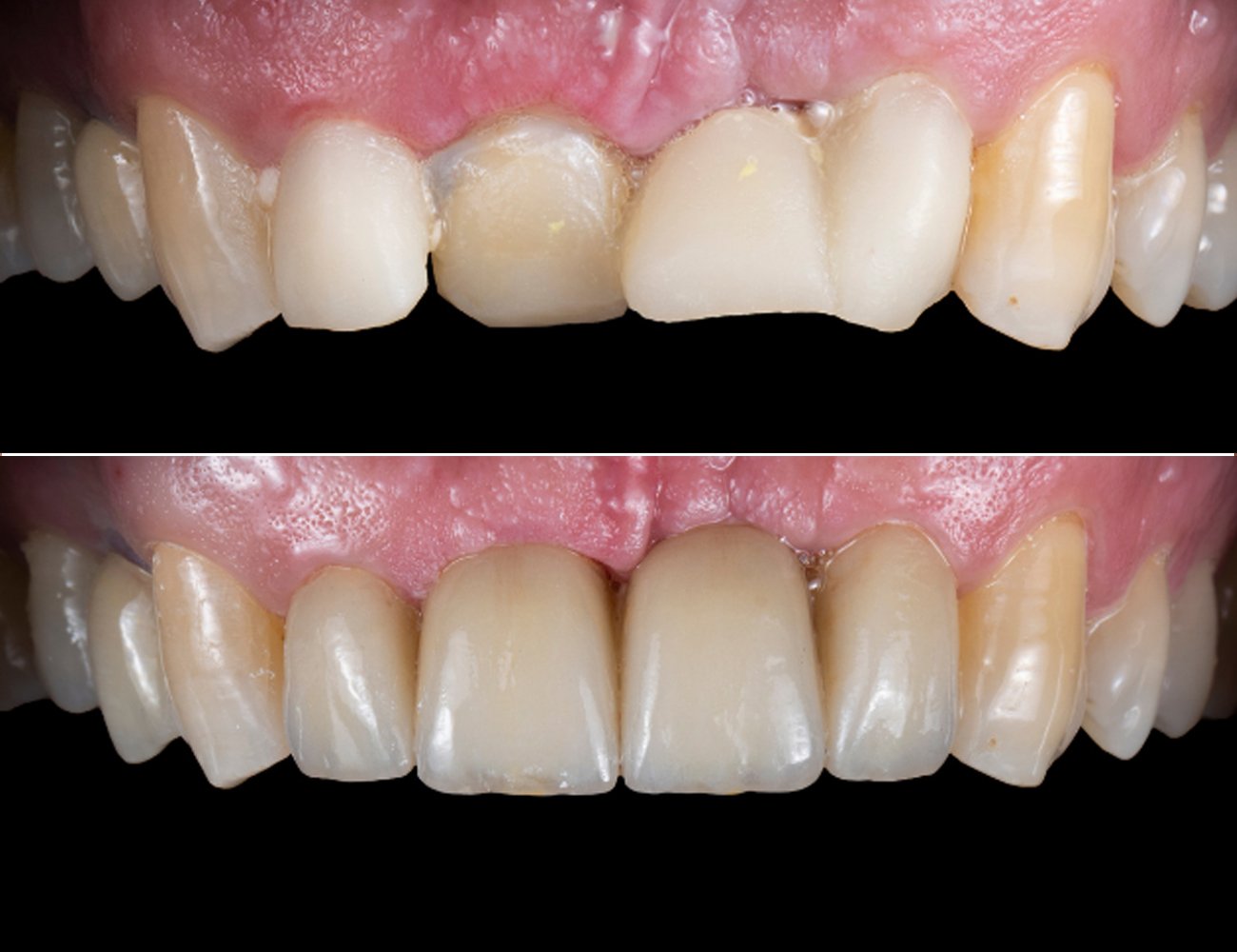
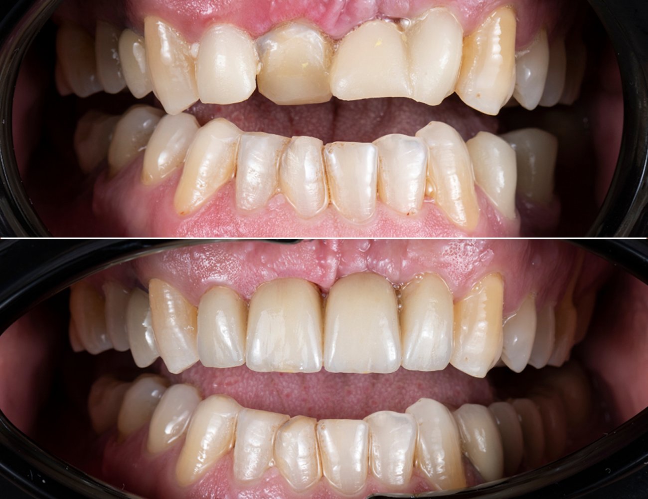
Bọc răng sứ là một kỹ thuật phục hình trong nha khoa vừa giúp tái tạo lại chức năng ăn nhai vừa mang đến sự thẩm mỹ cho răng. Răng sứ hay mão răng sứ là một loại răng nhân tạo được làm bằng chất liệu sứ hoặc kết hợp kim loại, có hình dáng, kích thước và màu sắc được chế tác giống như răng thật nhưng bên trong rỗng. Bác sĩ sẽ dùng mão răng sứ này để bọc cùi răng thật giúp phục hồi lại hình dáng, chức năng và thẩm mỹ cho răng. Quá trình bọc răng sứ bắt buộc phải mài mô răng thật để tạo cùi, nên đây là phương pháp phục hình xâm lấn mô răng thật khá nhiều.
VSiTa Dental giữ quan điểm bảo tồn tối đa trong tất cả các điều trị của mình. Điều trị làm răng sứ nha khoa VSiTa Dental sẽ được thực hiện bởi đội ngũ bác sĩ chính quy có chuyên môn cao, đảm bảo vật liệu chính hãng, tích hợp với công nghệ nha khoa kỹ thuật số.
Phục hình sứ bảo tồn tại nha khoa VSiTa Dental được chế tác tại hệ thống lab in-house tại phòng mạch với hệ thống CAD-CAM tân tiến. Do đó, phục hình có thể được toàn tất chỉ trong 1 ngày điều trị – thay vì 5-7 ngày như quy trình truyền thống.
| DỊCH VỤ | ĐƠN VỊ | CHI PHÍ (VNĐ) |
|---|---|---|
| Răng sứ thẩm mỹ Zirconia (Hàn Quốc) | Răng | 3,000,000 |
| Răng sứ thẩm mỹ DDBio (Hàn Quốc) | Răng | 4,000,000 |
| Răng sứ thẩm mỹ Zolid (Đức) | Răng | 5,000,000 |
| Răng sứ thẩm mỹ Cercon HT (Đức) | Răng | 6,000,000 |
| Răng sứ Thẩm mỹ Lava Plus (Mỹ) | Răng | 7,000,000 |
| Răng sứ Thẩm mỹ Lava Esthetic (Mỹ) | Răng | 10,000,000 |
| Răng sứ Thẩm mỹ Orodent (Ý) | Răng | 15,000,000 |
Phục hình sứ ở VSiTa Dental gồm cả sứ kim loại và toàn sứ. Vật liệu sứ kim loại là lựa chọn kinh tế, tuy nhiên thành phần kim loại trong phục hình về lâu dài có thể bị lộ, xuất hiện viền cổ răng đen, bị oxy hoá và làm nhiễm màu nướu. Vật liệu toàn sứ là nhóm vật liệu tân tiến hơn, tuỳ vào vị trí và độ chịu lực của răng mà bác sĩ có thể chỉ định vật liệu Zirconia hoặc sứ thuỷ tinh. Hệ thống toàn sứ cho phép tạo ra những phục hình sứ có độ thẩm mỹ cao giống như răng tự nhiên và độ cứng tối ưu.
Đặt lịch khám & tư vấn ngay ! Nhận ngay 2 triệu
Công ty cổ phần VSita Dental
Giấy phép hoạt động: Số 00422 / HCM-GPHĐ do sở Y tế TP. Hồ Chí Minh Cấp
Người chịu trách nhiệm chuyên môn kỹ thuật: Bác sĩ Nguyễn Thị Kim Chi
Số CCHN: 004352/HCM-CCHN; Ngày cấp: 27/11/2012; Nơi cấp: Sở Y tế TP.HCM
Hotline: 0978 569 309 / 0902 826 930
Whatsapp: (+84)911488876
Zalo: 0978569309
Địa chỉ:19-21-23 Đ. Phạm Viết Chánh, P. Cầu Ông Lãnh, TP. HCM (Xem bản đồ)
Đặt lịch khám & tư vấn ngay ! Nhận ngay 2 triệu