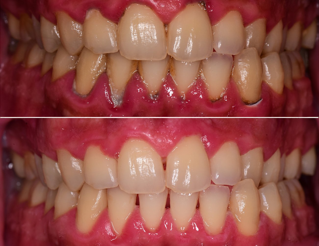
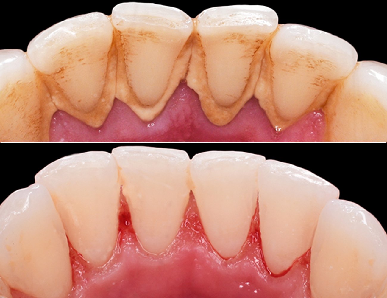
Là dịch vụ chăm sóc răng định kỳ đặc biệt của VSiTa Dental dành cho khách hàng thân thiết. Khách hàng sẽ được trải nghiệm dịch vụ massage nướu, vệ sinh răng, đánh bóng răng và theo dõi kiểm tra định kỳ không giới hạn số lần trong năm. Điều này không những giúp khách hàng duy trì hàm răng khoẻ mạnh, sáng bóng mà còn dự phòng, sớm phát hiện các vấn đề răng miệng và tránh được các điều trị xâm lấn cao.
Dịch vụ Smile Spa tại VSiTa Dental được thực hiện bởi đội ngũ Bác sĩ chính quy. Đây là dịch vụ độc quyền tại VSiTa Dental. Khách hàng có thể trải nghiệm dịch vụ này dưới dạng quà tặng cho bạn bè, người thân và cả gia đình. Smile Spa phù hợp cho khách hàng ở mọi độ tuổi, từ em bé, mẹ bầu đến người lớn tuổi.
| DỊCH VỤ | ĐƠN VỊ | CHI PHÍ (VNĐ) |
|---|---|---|
| Chụp phim toàn hàm 2D | Phim | 160,000 |
| Chụp Xquang quanh chóp chân răng | Phim | 50,000 |
| DỊCH VỤ | ĐƠN VỊ | CHI PHÍ (VNĐ) |
|---|---|---|
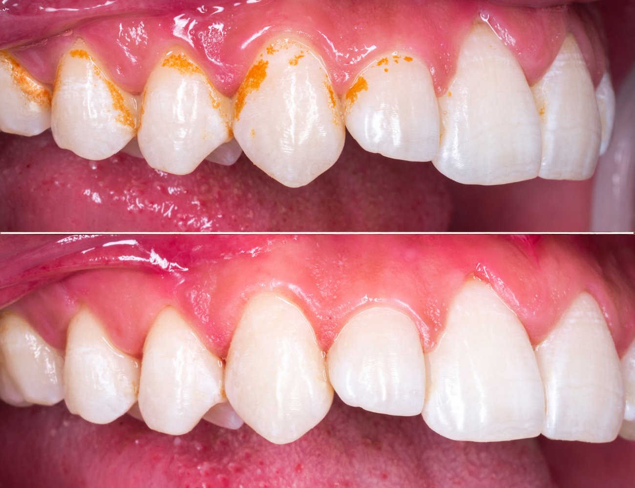
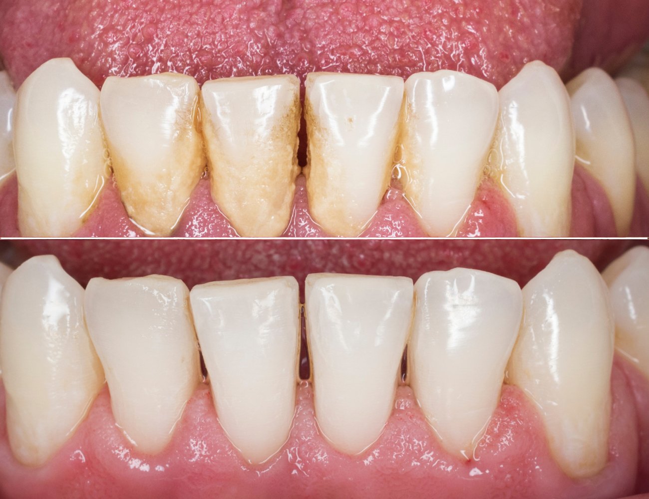
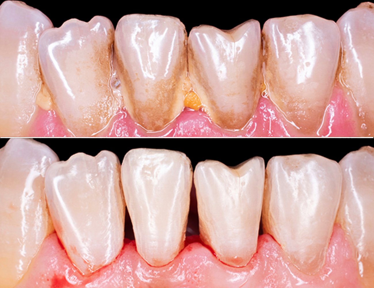
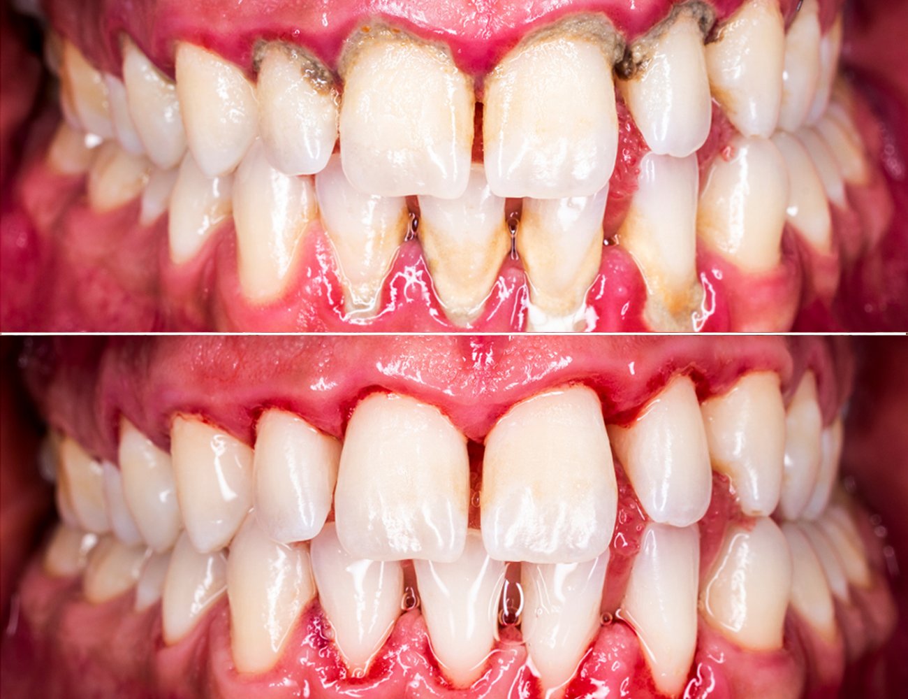
| Cạo vôi răng (1, 2, 3) | 2 Hàm | 300,000 - 500,000 - 700,000 |
| Đánh bóng răng trẻ em | 2 Hàm | 100,000 |
Đặt lịch khám & tư vấn ngay ! Nhận ngay 2 triệu
Công ty cổ phần VSita Dental
Giấy phép hoạt động: Số 00422 / HCM-GPHĐ do sở Y tế TP. Hồ Chí Minh Cấp
Người chịu trách nhiệm chuyên môn kỹ thuật: Bác sĩ Nguyễn Thị Kim Chi
Số CCHN: 004352/HCM-CCHN; Ngày cấp: 27/11/2012; Nơi cấp: Sở Y tế TP.HCM
Hotline: 0978 569 309 / 0902 826 930
Whatsapp: (+84)911488876
Zalo: 0978569309
Địa chỉ:19-21-23 Đ. Phạm Viết Chánh, P. Cầu Ông Lãnh, TP. HCM (Xem bản đồ)
Đặt lịch khám & tư vấn ngay ! Nhận ngay 2 triệu