fbpx

Hỗ trợ (24/7)

ĐẶT LỊCH KHÁM
GIỚI THIỆU

Điều trị cười hở nướu là gì

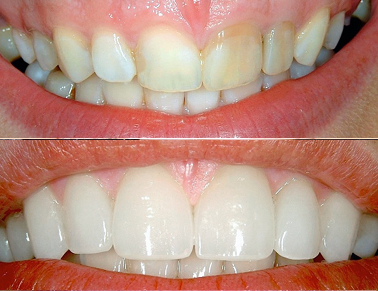
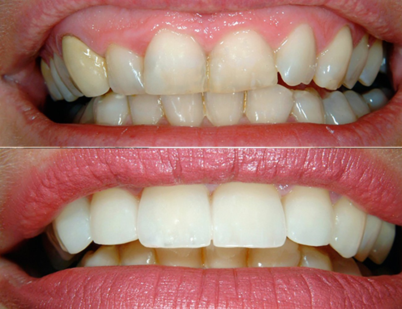
Cười hở nướu là tình trạng bất hài hoà mô nướu, răng và khuôn miệng, làm giảm độ tự tin và vẻ đẹp nụ cười. Cười hở nướu có thể được giải quyết bằng phương pháp phẫu thuật hoặc không phẫu thuật, tuỳ thuộc vào tình trạng xương và mô mềm của từng cá thể. Điều trị không phẫu thuật có thể là chỉnh hình hoặc tiêm botox. Điều trị tạo hình nướu có thể đi kèm với mặt dán sứ veneer để tối ưu hoá vẻ đẹp nụ cười.

Quy trình phẫu thuật điều trị cười hở nướu

Bước 1: Khám tổng quát tình trạng răng miệng - Tư vấn kế hoạch điều trị.

Bước 2: Xét nghiệm máu

Bước 3: Tiểu phẫu thuật cắt nướu.

Bước 4: Tái khám, cắt chỉ

Điểm khác biệt khi điều trị cười hở nướu tại VSiTa Dental?

Tại VSiTa Dental, chúng tôi đầu tư công nghệ Laser để cắt nướu thay cho dao điện hoặc dao mổ thường. Nhờ đó, khách hàng sẽ được trải nghiệm dịch vụ cắt nướu nhẹ nhàng nhất, ít biến chứng, lành thương nhanh. Bên cạnh đó, chúng tôi cũng sẽ áp dụng quy trình kỹ thuật số, có thiết kế nụ cười để khách hàng mường tượng được kết quả trước khi tiến hành cắt nướu. Với công nghệ in 3D hiện đại, chúng tôi cũng sẽ tạo được những máng hướng dẫn phẫu thuật, để đảm bảo phẫu thuật được chuẩn xác và nhanh chóng.

Hình ảnh khách hàng

Bảng giá điều trị cười hở nướu

Điều trị cười hở nướu

DỊCH VỤ ĐƠN VỊ CHI PHÍ (VNĐ)
Phẫu thuật nạo áp xe nướu (1, 2, 3) Răng 500,000 - 1,000,000 - 2,000,000
Tạo hình nướu đơn giản Răng 1,000,000
Tạo hình nướu phức tạp Răng 2,000,000

* Vui lòng liên hệ nhân viên tư vấn

Có thể điều trị cười hở nướu bằng phương pháp không phẫu thuật không?

Có thể. Trong trường hợp cười hở nướu gây ra do cơ kéo môi quá mạnh (khi cười), bác sĩ có thể tiến hành tiêm botox để làm giảm trương lực co cơ khi cười, tuy nhiên hiệu quả của điều trị này thường chỉ kéo dài vài tháng. Niềng răng cũng là lựa chọn điều trị trong nhiều trường hợp. Phương pháp này không những giúp sắp xếp lại vị trí răng và còn điều chỉnh được độ trồi/lún và vị trí đường nướu. Tuy nhiên, thời gian điều trị của phương pháp niềng răng thường kéo dài.

Có nhất thiết phải làm mặt dán sứ veneer sau khi cắt nướu?

Ở một số trường hợp ở những răng có thân răng ngắn, việc cắt nướu sẽ làm lộ cổ chân răng, gây nên trình trạng ê buốt và giảm thẩm mỹ. Khi đó, bác sĩ sẽ khuyến nghị khách hàng làm veneer sau khi cắt nướu. Nhiều khách hàng đã có phục hình sứ hoặc veneer cũ trong miệng, nếu muốn cắt nướu thì những phục hình này thường được chỉ định làm lại.