fbpx

Hỗ trợ (24/7)

ĐẶT LỊCH KHÁM
GIỚI THIỆU

Trám răng là gì?

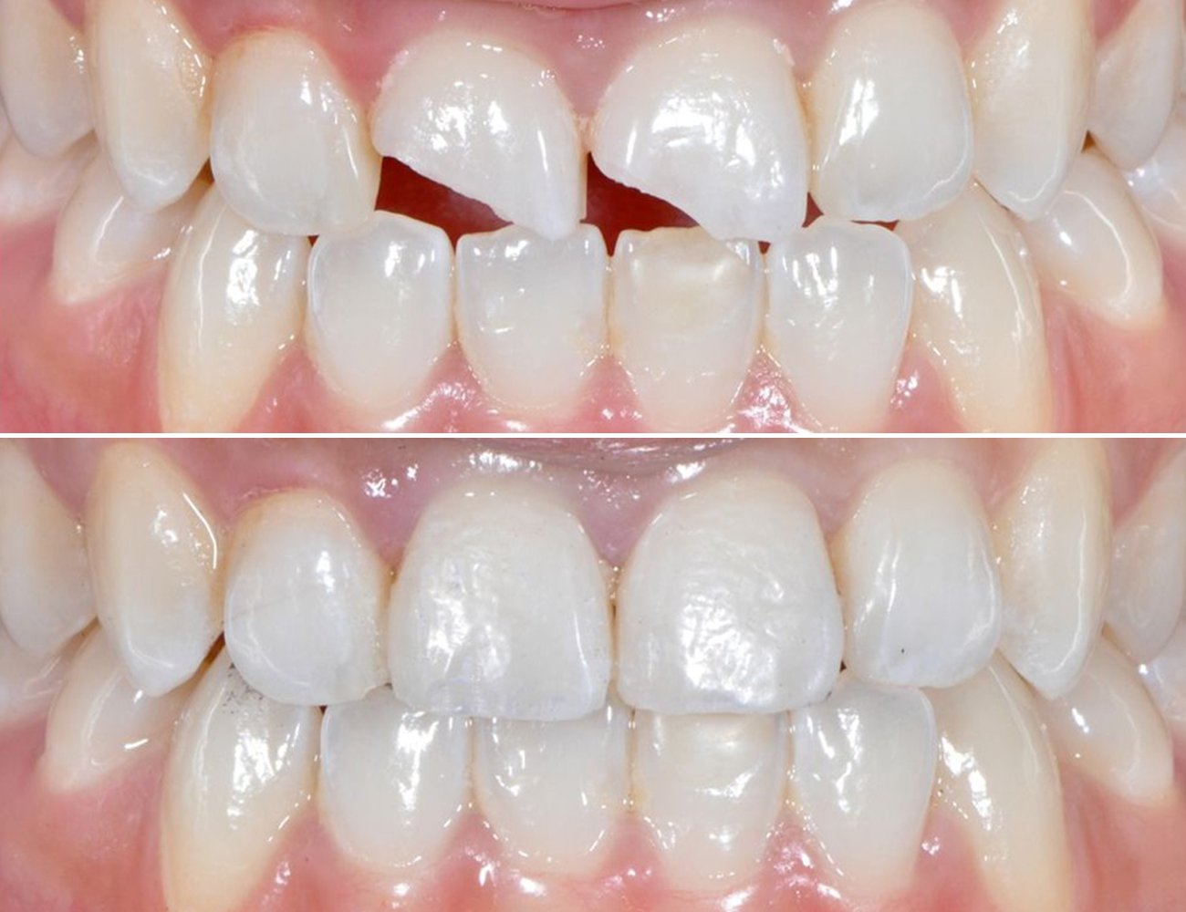
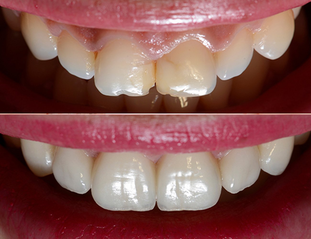
Trám răng là loại hình điều trị bảo tồn trong nha khoa thường quy nhưng lại đóng vai trò quan trọng trong việc bảo vệ sự sống và ngăn ngừa biến chứng nhạy cảm, đau, viêm do sâu răng. Trám răng được chỉ định trong những trường hợp răng sâu, mẻ, vỡ. Trám răng có thể được thực hiện với nhiều loại vật liệu khác nhau, có vai trò cung cấp Flour cho răng, chống sâu răng tái phát, phục hồi lại vẻ đẹp thẩm mỹ và chức năng. Trám răng thẩm mỹ vùng răng cửa là thủ thuật đòi hỏi sự khéo léo và kinh nghiệm của bác sĩ, giúp khách hàng tự tin trong giao tiếp. Tuổi thọ của một miếng trám có thể kéo dài hơn 10 năm.

Quy trình trám răng

Bước 1: Khám đánh giá – chụp phim X-Quang

Bước 2: Loại bỏ mô sâu – Làm sạch xoang trám

Bước 3: Trám răng

Bước 4: Hoàn tất, điều chỉnh, đánh bóng.

Tại sao chọn trám răng tại VSiTa Dental?

Trám răng có vẻ như đơn giản nhưng lại là điều trị rất quan trọng trong việc giữ gìn răng. Trám răng thẩm mỹ là điều trị đòi hỏi sự kiên nhẫn, tỉ mỉ và kinh nghiệm của bác sĩ. Tại VSiTa Dental, trám răng được thực hiện bởi đội ngũ chuyên gia có trình độ cao. Vật liệu trám được trang bị đầy đủ, gồm các vật liệu sinh học và vật liệu thẩm mỹ. Thiết bị hỗ trợ trám răng cũng được đầu tư đầy đủ và bài bản. Do đó, khách hàng có thể hoàn toàn an tâm về chất lượng và thẩm mỹ của miếng trám.

Hình ảnh khách hàng

Bảng giá trám răng

CHẨN ĐOÁN HÌNH ẢNH

DỊCH VỤ ĐƠN VỊ CHI PHÍ (VNĐ)
Chụp phim toàn hàm 2D Phim 160,000
Chụp Xquang quanh chóp chân răng Phim 50,000

TRÁM RĂNG

DỊCH VỤ ĐƠN VỊ CHI PHÍ (VNĐ)
Trám răng sữa Răng 300,000
Trám răng thẩm mỹ Răng 500,000 - 700,000

* Vui lòng liên hệ nhân viên tư vấn

Những câu hỏi thường gặp ?

Trám răng có đau không?

Trám răng trong đa số trường hợp sẽ không gây đau hay khó chịu. Tuy nhiên, khách hàng có thể cảm giấy ê trong trường hợp lỗ sâu quá lớn. Sau khi hoàn tất, cảm giác ê sẽ không còn nữa.

Tôi nên trám răng hay bọc răng sứ nếu bị mẻ răng cửa?

Nếu răng cửa bị mẻ hoặc sâu ít, không bị đổi màu, không gây ê nhức và không có bệnh lý tuỷ, trám răng sẽ được chỉ định. Đây là phương pháp xâm lấn tối thiểu, giúp giữ gìn tối đa mô răng còn lại. Trám răng thẩm mỹ đủ mang lại vẻ đẹp tự nhiên cho răng, tuy nhiên tuổi thọ của miếng trám chỉ kéo dài vài năm, vật liệu trám cũng sẽ đổi màu theo thời gian. Do đó, khách hàng vẫn có thể yêu cầu làm mặt dán sứ bảo tồn răng để có hiệu quả điều trị kéo dài.