fbpx

Hỗ trợ (24/7)

ĐẶT LỊCH KHÁM
GIỚI THIỆU

Mặt dán sứ Veneer là gì?

Mặt dán sứ Veneer là loại phục hình sứ kỹ thuật cao có độ dày từ 0,2 - 0,5mm, thiết kế dựa trên hình thể và kích thước của mỗi răng riêng lẻ và được dán dính vào mặt ngoài răng nhằm cải thiện thẩm mỹ cho răng. Mặt dán sứ veneer tại VSiTa Dental được thiết kế theo thẩm mỹ gương mặt, nụ cười và bản chất răng tự nhiên của mỗi khách hàng nhằm đảm bảo sự bảo tồn tối đa răng tự nhiên, không xâm lấn, không đau, mài ít hoặc không mài. Ở một số trường hợp, khách hàng cần điều trị chỉnh nha để sắp xếp lại răng và tối ưu hoá thẩm mỹ trước khi làm mặt dán sứ veneer.

Quy trình Mặt dán sứ Veneer

Bước 1: Khám tổng quát tình trạng răng miệng - Tư vấn kế hoạch điều trị.

Bước 2: Nụ cười thử nghiệm

Bước 2: Nụ cười thử nghiệm

Bước 3: Sửa soạn răng

Bước 3: Sửa soạn răng

Bước 4: Gắn răng

Bước 4: Gắn răng

Bước 5: Kiểm tra thẩm mỹ và chức năng - điều chỉnh - chụp hình hoàn tất

Bước 5: Kiểm tra thẩm mỹ và chức năng - điều chỉnh - chụp hình hoàn tất

Điểm khác biệt khi làm Veneer sứ tại nha khoa VSiTa Dental

  1. Chất lượng cao: Điều trị dán sứ tại nha khoa VSiTa Dental sẽ được thực hiện bởi đội ngũ bác sĩ chính quy có chuyên môn cao, đảm bảo vật liệu chính hãng, tích hợp với công nghệ nha khoa kỹ thuật số.
  2. Thời gian rút ngắn: Với hệ thống labo nha khoa khép kín và công nghệ kỹ thuật số hiện đại tại phòng khám, chúng tôi sẽ đảm bảo việc chế tác các mặt dán sứ nhanh chóng và chuẩn xác bằng các công nghệ hiện đại mang tiêu chuẩn quốc tế.
  3. Cá nhân hoá nụ cười: Các mô phòng 2D và 3D về thiết kế nụ cười sẽ được trình bày để khách hàng hiểu và thống nhất cùng bác sĩ. Chúng tôi đảm bảo thiết kế răng mang tính cá nhân, phù hợp với khuôn mặt, cá tính và nguyện vọng của mỗi khách hàng.

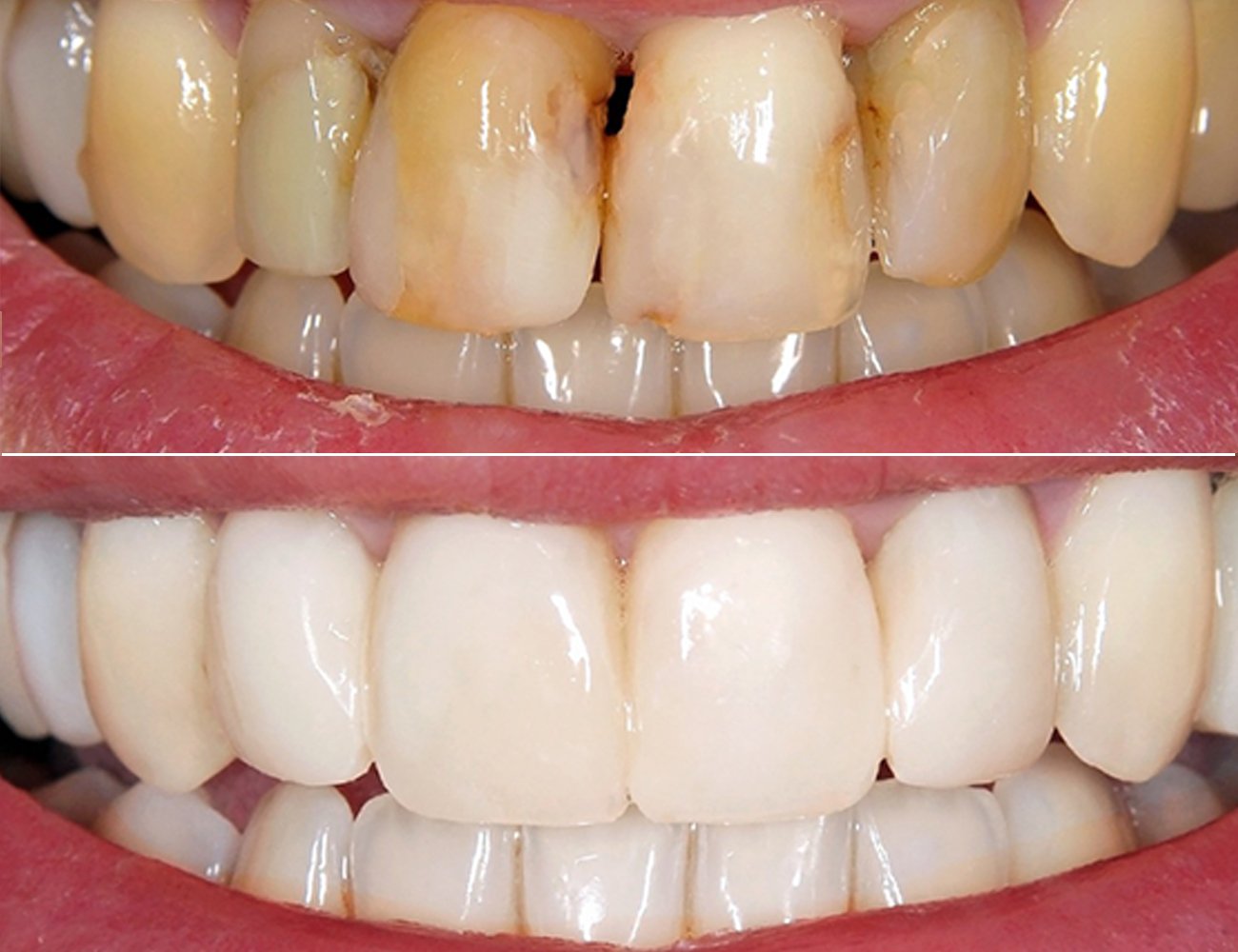
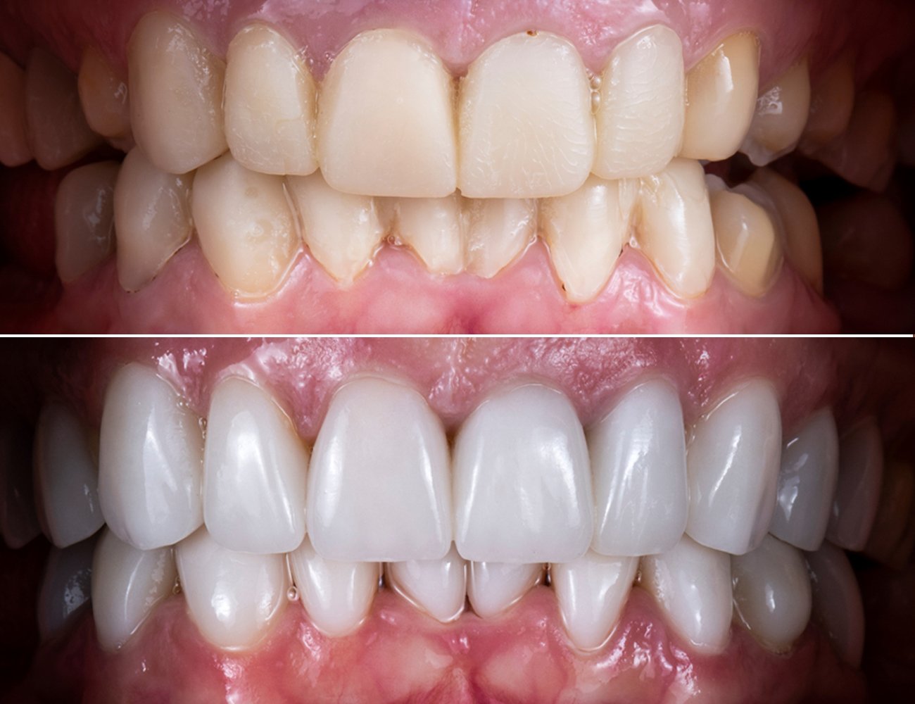
Hình ảnh khách hàng

Bảng giá mặt dán sứ Veneer

Mặt dán sứ Veneer

DỊCH VỤ ĐƠN VỊ CHI PHÍ (VNĐ)
Veneer sứ thủy tinh Emax Press (Đức) Răng 7,000,000
Veneer sứ thủy tinh Emax CAD/CAM (Đức) Răng 7,000,000
Veneer sứ thủy tinh Lisi CAD/CAM (Nhật Bản) Răng 10,000,000
Veneer không mài (Non - prep) Răng 10,000,000 - 12,000,000

* Vui lòng liên hệ nhân viên tư vấn

Những băn khoăn của khách về quyết định làm mặt dán sứ

1.Răng sẽ bị mài nhỏ?

Mặt dán sứ veneer yêu cầu một độ sửa soạn răng nhất định. Tuỳ điều kiện của răng mà bác sĩ có thể cần mài từ 0.2-0.7mm hoặc không mài. Mức độ mài nếu có là rất ít, đảm bảo vẫn còn mô men răng – là phần mô cứng chắc nhất giúp bảo vệ các cấu trúc bên trong của răng. Tuỷ răng hoàn toàn được bảo vệ. Đối với một trường hợp cần mài nhiều hơn, bác sĩ sẽ tư vấn tường tận về các điều trị bổ trợ để hạn chế tối đa việc mài răng. Ví dụ, trường hợp khách hàng có răng chen chúc cần điều trị chỉnh nha trong giai đoạn ngắn để trước khi làm veneer.

2.Răng sẽ đổi màu theo thời gian?

Veneer sứ gần như không đổi màu theo thời gian. Tuy nhiên mô răng tự nhiên bên dưới lớp veneer có thể đổi màu (đây là quá trình sinh lý tự nhiên) làm tổng thể màu răng bị thay đổi.

3.Răng sứ sẽ bị mẻ/ bể?

Một vài loại sứ sẽ dễ bị mẻ/bể hơn răng thật. Do đó, tuỳ thuộc vào tình trạng khớp cắn và hoạt động chức năng của mỗi khách hàng, bác sĩ sẽ chỉ định loại vật liệu sứ phù hợp để hạn chế tối đa việc mẻ/bể sứ.

4.Răng sứ dễ bị sâu hơn?

Vật liệu sứ không bị sâu như răng thật. Sau khi làm răng sứ, khách hàng vẫn có thể bị sâu răng, tuy nhiên phần sâu này nằm ở mô răng thật hoặc giao diện giữa sứ và mô răng thật. Do đó, cũng giống như hàm răng tự nhiên, răng có dán veneer sứ cần được chăm sóc và giữ gìn vệ sinh để tránh tình trạng sâu răng.

5.Răng nào cũng sẽ làm veneer được?

Veneer không mài hoặc mài ít có thể được tiến hành trên những khách hàng muốn cải thiện tình trạng răng nhỏ, khe thưa, chen chúc nhẹ, hoặc muốn làm trắng răng. Một số trường hợp khác như răng chen chúc nhiều, hô, móm, lệch hàm hay có bệnh lý khớp thái dương hàm hiện hữu, khách hàng cần được điều trị chỉnh nha hoặc điều trị chuyên sâu trước khi làm mặt dán sứ veneer.

6.Niềng răng thay vì làm mặt dán sứ veneer?

Nhiều khách hàng tin rằng niềng răng có thể mang lại  một hàm răng đều và đẹp. Tuy nhiên trong 1 số trường hợp, việc dàn đều răng sau khi chỉnh nha vẫn chưa đáp ứng được mong muốn của khách hàng về màu răng, dáng răng hay những dấu ấn muốn có trên răng. Do đó, dán veneer vẫn là một điều trị không thể thay thế bằng chỉnh nha trong nhiều trường hợp.