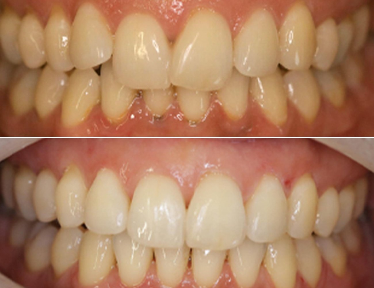
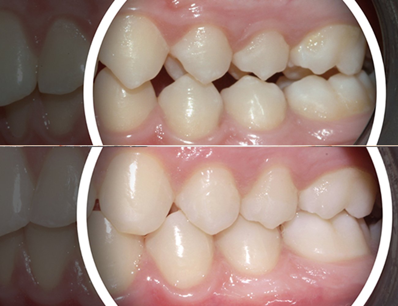
Invisalign hay còn gọi là niềng răng trong suốt, là một phương pháp điều trị chỉnh nha làm thẳng răng không sử dụng mắc cài hay dây thun như niềng thông thường mà sử dụng các khay nhựa trong suốt. Khay niềng sử dụng vừa khít với răng của bạn, bao phủ răng và nhẹ nhàng kéo chúng vào đúng vị trí mong muốn theo thời gian. Khay sẽ được thay mới sau vài tuần, điều này cho phép chúng di chuyển răng từng chút một, cho đến khi hàm răng trở nên hoàn hảo. Bởi vì invisalign trong suốt, có thể tháo ra lắp vào nên chúng ít bị chú ý hơn so với mắc cài kim loại truyền thống, khiến cho người niềng cảm thấy thoải mái, tự tin hơn trong giao tiếp.
Chỉnh nha khay trong Invisalign tại VSiTa Dental được thực hiện bởi đội ngũ bác sĩ chính quy, được đào tạo chuyên sâu về cả chỉnh nha truyền thống và chỉnh nha Invisalign, liên tục cập nhật các kiến thức thông qua các khoá đào tạo trong và ngoài nước. Chúng tôi trang bị máy scan và hệ thống chụp phim, studio chụp hình hiện đại, hỗ trợ tối đa việc chẩn đoán, phân tích và lên kế hoạch điều trị chỉnh nha phù hợp. Chúng tôi cũng đa dạng hệ thống khay trong suốt không chỉ Invisalign để khách hàng có nhiều lựa chọn điều trị hơn.
| DỊCH VỤ | ĐƠN VỊ | CHI PHÍ (VNĐ) |
|---|---|---|
| Chỉnh nha khay trong Smartee (1, 2, 3, 4) | Liệu trình | 35,000,000 - 55,000,000 - 75,000,000 - 100,000,000 |
| Chỉnh nha khay trong Smartee Teen | Liệu trình | 90,000,000 |
| Chỉnh nha khay trong Invisalign (1, 2, 3, 4, 5) | Liệu trình | 85,000,000 - 65,000,000 - 110,000,000 - 125,000,000 - 140,000,000 |
| Chỉnh nha khay trong Invisalign Teen | Liệu trình | 160,000,000 |
| DỊCH VỤ | ĐƠN VỊ | CHI PHÍ (VNĐ) |
|---|---|---|
| Minivis hỗ trợ Chỉnh nha | Vít | 2,000,000 |
| Tháo minivis nơi khác | Vít | 500,000 |
| DỊCH VỤ | ĐƠN VỊ | CHI PHÍ (VNĐ) |
|---|---|---|
| Khay duy trì chỉnh nha | 1 Hàm | 1,500,000 |
Niềng răng Invisalign bao gồm một chuỗi các khay niềng trong suốt, chúng được thiết kế riêng theo hàm răng của từng cá nhân. Và sẽ được sử dụng lần lượt ở từng giai đoạn khác nhau trong suốt quá trình chỉnh nha.
Các khay niềng được đánh số thứ tự từ khay số 1 cho đến khay cuối cùng, trung bình mỗi khay sẽ được sử dụng trong khoảng 2 tuần, có thể dịch chuyển răng khoảng 0.25 mm, cứ liên tục như vậy cho đến khi răng về đúng vị trí mong muốn.
Trong suốt quá trình niềng Invisalign, một bệnh nhân thường phải mang tổng cộng từ 20 – 40 khay niềng, tùy vào mức độ sai lệch của răng. Và để đảm bảo phương pháp này đạt hiệu quả tối ưu nhất người dùng cần phải mang khay Invisalign tối thiểu là 22 giờ/ngày.
Đặt lịch khám & tư vấn ngay ! Nhận ngay 2 triệu
Công ty cổ phần VSita Dental
Giấy phép hoạt động: Số 00422 / HCM-GPHĐ do sở Y tế TP. Hồ Chí Minh Cấp
Người chịu trách nhiệm chuyên môn kỹ thuật: Bác sĩ Nguyễn Thị Kim Chi
Số CCHN: 004352/HCM-CCHN; Ngày cấp: 27/11/2012; Nơi cấp: Sở Y tế TP.HCM
Hotline: 0978 569 309 / 0902 826 930
Whatsapp: (+84)911488876
Zalo: 0978569309
Địa chỉ:19-21-23 Đ. Phạm Viết Chánh, P. Cầu Ông Lãnh, TP. HCM (Xem bản đồ)
Đặt lịch khám & tư vấn ngay ! Nhận ngay 2 triệu